Головна / Послуги / Пластика ясен

Пластика ясен у Дніпрі

Зв’язатися з контакт-центром
112 DENTAL CLINIC
проблема

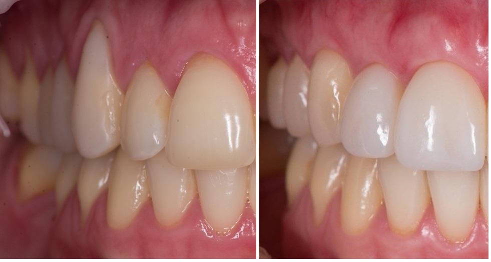
Що таке пластика ясен?

Пластика ясен — це сучасна стоматологічна процедура, яка дозволяє відновити природний контур ясен та усунути естетичні або функціональні проблеми. Вона проводиться при рецесії ясен (коли ясна відходять від зуба і оголюється корінь), асиметрії лінії ясен або при «губчастій усмішці» (gummy smile). Завдяки мікрохірургічним методикам у клініці 112 Dental Clinic у Дніпрі пацієнти отримують гармонійну посмішку та здорові ясна.

Чому важливо не відкладати пластику ясен?

Вчасне звернення до стоматолога дозволяє не лише відновити естетику, а й зупинити прогресування рецесії, що може призвести до підвищеної чутливості та втрати зубів. Пластика ясен у 112 Dental Clinic у Дніпрі — це поєднання безболісних технологій, точності та прогнозованого результату. Після процедури пацієнти відзначають покращення комфорту, гармонійність посмішки та здоров’я ротової порожнини.

Як зрозуміти, що потрібна пластика ясен: симптоми та ознаки

Проблеми з яснами не завжди супроводжуються болем, тому пацієнти часто відкладають звернення до стоматолога. Серед перших ознак, що можуть свідчити про необхідність пластики ясен у Дніпрі, варто виділити: надмірне оголення зубів, нерівну або асиметричну лінію ясен, чутливість зубів до холодного чи гарячого, а також часті запалення та кровоточивість. Такі зміни не лише впливають на естетику посмішки, але й можуть стати причиною захворювань пародонту. У 112 Dental Clinic ми рекомендуємо не чекати появи виражених симптомів — регулярні профілактичні огляди допомагають своєчасно виявити проблему та обрати оптимальний метод лікування.

Причини необхідності пластики ясен

Неестетична форма або стан ясен може бути наслідком як місцевих, так і загальних факторів. Найпоширеніші причини, через які потрібна пластика ясен у Дніпрі:

  • генетична схильність до рецесії ясен;
  • наслідки пародонтиту або гінгівіту;
  • неправильна техніка чищення зубів;
  • травми слизової оболонки та ясен;
  • анатомічні особливості прикріплення вуздечки губи чи язика;
  • нерівномірний ріст зубів або ортодонтичні проблеми;
  • наслідки неправильно встановлених пломб чи коронок;
  • гормональні зміни та загальні захворювання організму.
ви отримаєте

ПЛАСТИКА ЯСЕН У 112 DENTAL CLINIC

  • Сучасні мікрохірургічні методики для відновлення природної лінії ясен;
  • Естетичний результат – гармонійна посмішка без асиметрії;
  • Комфортна процедура з використанням місцевої анестезії;
  • Доступна ціна на пластику ясен у Дніпрі.
Прогнозований результат
Завдяки лікуванню під мікроскопом, зберігається більше зубної тканини, що допомагає продовжити термін служби зубів
якісні сучасні матеріали

Матеріали від провідних брендів для реставрацій поєднуються з зубними тканинами, мають чудове полірування та стабільність

Рекомендації

Наші лікарі видалять ураження, відновлять функціональність зубів. Завжди шукатимемо можливість зберегти живий зуб

Що вас чекатиме
перший прийом в 112 DENTAL CLINIC
Консультація
Все починається з ретельного огляду порожнини рота. Лікар оцінює стан ясен, виявляє ділянки рецесії або надлишкового росту тканини та складає індивідуальний план пластики ясен у Дніпрі.
Діагностика
Сучасні методи діагностики дозволяють визначити причину проблеми – пародонтит, механічні ушкодження чи інші фактори. Це дає можливість підібрати оптимальний метод лікування, який забезпечить естетичний результат.
Знеболення
Процедура проводиться під місцевою анестезією, завдяки чому пацієнт не відчуває болю чи дискомфорту. Ми використовуємо сучасні препарати, що гарантують максимальний комфорт під час пластики ясен.
Лікування
Стоматолог проводить корекцію форми ясен: усуває асиметрію, закриває оголені ділянки кореня або, за потреби, зменшує надмірний об’єм тканин. Завдяки цьому відновлюється гармонія посмішки та здоров’я ясен.
112 dental clinic

Ціни на послуги

Пластика ясен
Імплант MegaGen
350 $
Імплант “NeoBiotech” Корея
250 $
Імплант Straumann
від 700 $
Абатмент + цирконієва коронка
300 $
Навігаційний шаблон
100 $
Формувач та пластика ясен
100 $
Чому слід обрати нас
Перваги 112 DENTAL CLINIC
Перваги 112 DENTAL DENTAL CLINIC
Дізнайтеся більше про наш професіоналізм
Ми пишаємося роками досвіду, тисячами доволних клієнтів
100% гарантія результату
Лікарі видалять каріозні ураження та відновлять функціональність і естетику зубів, навіть якщо залишився лише корінь.
Прогнозований результат
Лікування під мікроскопом дозволяє зберегти більше зубної тканини, що продовжує термін служби зубів.
якісні сучасні матеріали
Матеріали від провідних брендів для реставрацій чудово поєднуються з зубними тканинами, забезпечуючи відмінне полірування.
Ваша посмішка в руках експертів
Професійна команда
створює комфорт і красу
Відгуки
Питання щодо вартості?
Звертайтеся за телфонами або заповніть форму для зв’язку щоб отримати консультацію

Пластика ясен — це сучасна стоматологічна процедура, спрямована на відновлення форми, об’єму та естетики ясен. Вона дозволяє усунути оголення шийок зубів, корекцію рельєфу ясен та підготувати ротову порожнину для подальших реставрацій або ортодонтичного лікування.

Під час процедури стоматолог оцінює стан ясен і зубів, визначає оптимальний метод пластики та проводить корекцію тканин з максимальною точністю. Пластика ясен у Дніпрі проводиться із застосуванням сучасних щадних методик, що забезпечує безпеку, комфорт і естетичний результат.

Пластика ясен допомагає відновити природний контур ясен, закрити оголені шийки зубів та запобігти подальшому прогресуванню рецесії. Процедура дозволяє покращити не тільки естетику посмішки, а й здоров’я пародонту, зменшити чутливість зубів та створити умови для успішних реставрацій або ортодонтичного лікування.

Перед процедурою лікар проводить огляд, оцінює товщину та стан ясен, прикус і наявність запальних процесів. Це дозволяє підібрати індивідуальний метод пластики — трансплантацію власної тканини, використання колагенових мембран або лазерну корекцію.

Пластика ясен у Дніпрі забезпечує довготривалий ефект, покращує естетику та здоров’я ротової порожнини, дозволяє відновити природний вигляд зубного ряду та комфорт пацієнта. Сучасні методи гарантують безпеку, точність і стійкий результат.

Faq
відповіді на часті питання

Ні. Усі маніпуляції виконуються із застосуванням сучасного місцевого знеболення, тому пацієнт не відчуває дискомфорту під час процедури.

Залежно від обсягу втручання, загоєння займає 1–2 тижні. Протягом цього часу слід дотримуватися рекомендацій стоматолога щодо гігієни та харчування.

Пацієнти отримують гармонійну лінію ясен, покращену естетику посмішки, захист коренів зубів та довгострокове зміцнення здоров’я ротової порожнини.

Так. Часто пластику ясен поєднують з професійним чищенням зубів, встановленням імплантів або відбілюванням для досягнення максимального естетичного ефекту.

Зв’язатися з контакт-центром 112 DENTAL CLINIC

Зв’язатися з
 контакт-центром 112 DENTAL CLINIC